Services

All Your Dental Needs at One Place

close up dentist using instruments

Dental Check-Ups

We offer comprehensive dental checkups to keep your teeth healthy and your smile confident.

cute young woman at the dentist. mouth checkup

Teeth Cleaning (Scaling & Polishing)​

We provide advanced teeth cleaning (scaling & polishing) to remove plaque, prevent gum issues, and leave your smile fresh and sparkling.

close up dentist instruments

Dental X-Rays​

With us, you get fast, painless root canal treatments done efficiently and comfortably.

woman patient at dentist

Fluoride Treatments

We offer fluoride treatments to strengthen your teeth and protect them from cavities.

woman having dental checkup with ultraviolet light

Teeth Whitening

We offer safe and effective teeth whitening for a brighter, more confident smile.

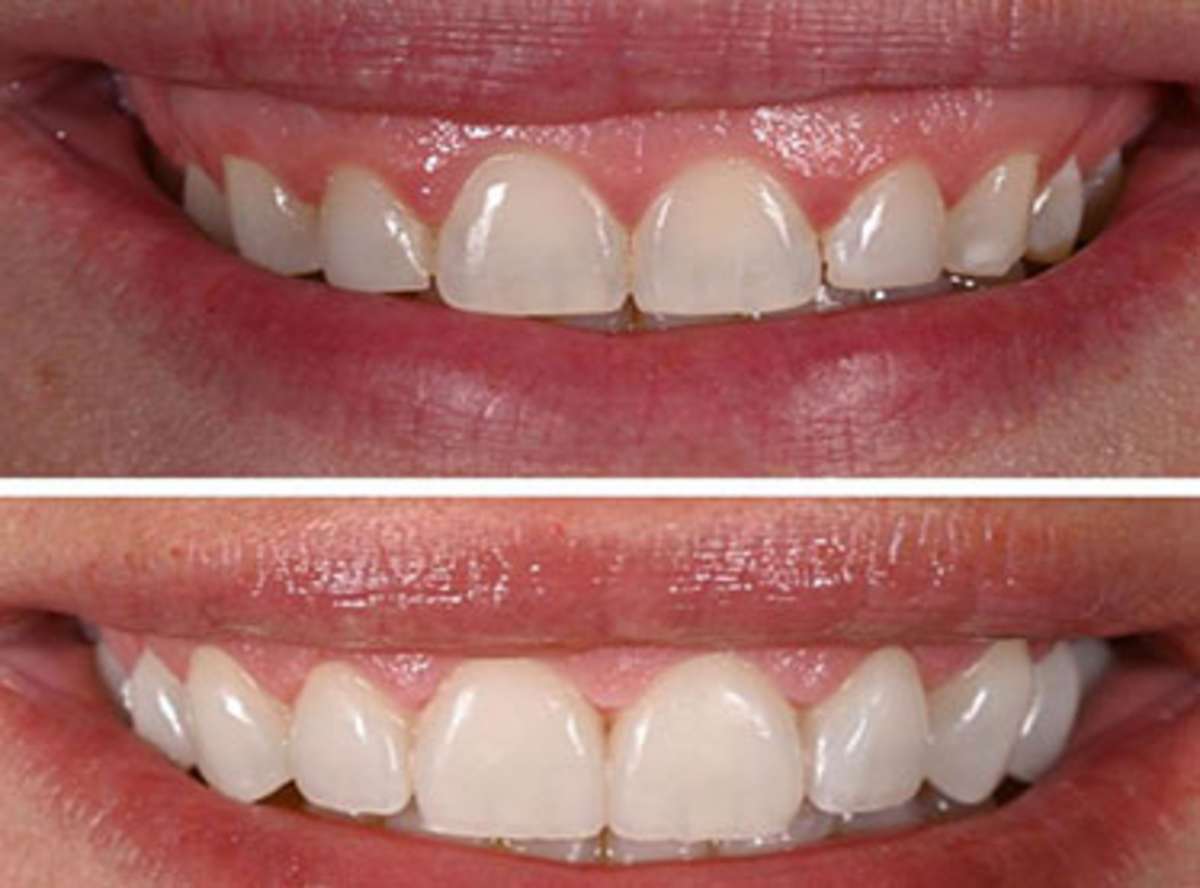
digital smile design

Smile Designing

We offer expert smile designing to enhance your smile with precision, balance, and confidence.

front view woman posing with dental gems

Dental Jewellery

We offer stylish dental jewellery to add a subtle sparkle and personalize your smile.

gmsml

Gummy Smile Correction​

We offer gummy smile correction to create a more balanced, confident, and natural-looking smile.

service 4 300x225.jpg

Tooth Coloured Fillings

We offer natural-looking tooth-coloured fillings that restore your teeth seamlessly and comfortably.

the dentist teaches dental care

Root Canal Treatment

We offer fast, painless root canal treatment to save your tooth and relieve pain effectively.

the dentist teaches dental care

Re-Root Canal Treatment

We offer re-root canal treatment to fix failed procedures and restore your tooth comfortably and safely.

maxresdefault

Post & Core

We offer post and core treatment to strengthen damaged teeth and provide a solid foundation for crowns.

crown 1

Crowns & Bridges

We offer durable, natural-looking crowns and bridges to restore function and enhance your smile.

braces

Braces​

We offer modern braces to straighten teeth and give you a confident, perfectly aligned smile.

aligners

Clear Aligners

We offer clear aligners for a discreet, comfortable way to straighten your teeth and perfect your smile.

tooth extraction

Tooth Extractions

We offer safe and painless tooth extractions to remove problematic teeth and ensure a healthy mouth.

wisdom tooth extraction

Wisdom Tooth Removal

We offer expert wisdom tooth removal for a safe, painless, and complication-free experience.

service 3 300x225.jpg

Fracture Repair

We offer dental fracture repair to restore broken or chipped teeth, bringing back strength and a natural smile.

oralsur

Minor Oral Surgeries

We offer minor oral surgeries performed safely and comfortably to treat dental issues effectively.

dental implant tooth set closeup model 1284 15060

Dental Implants

We offer dental implants to permanently replace missing teeth, restoring function and a natural smile.

denture

Dentures & Overdentures

We offer custom dentures and overdentures for comfortable, natural-looking teeth replacement and a confident smile.

rehab

Full Mouth Rehabilitation

We offer full mouth rehabilitation to restore your teeth, function, and smile with complete dental care.

maxifocal

Maxillofacial Prosthesis

– Artificial Eye
– Artificial Ear
– Artificial Nose
– Artificial Finger
– Obturator

Service 6

Specialized Care

– Paediatric Dentistry
– Periodontal & Gum Disease Treatment
– Laser Dentistry

Not Sure What You Need?​

Simply fill the form and book an appointment for yourself. We are here to help. Walk into our clinic and let us take a closer look to suggest the best treatment you need.